
Science – Good News Network
shared a link post in group #Good News Only

www.goodnewsnetwork.org
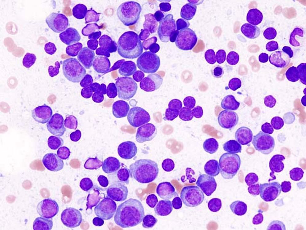
Cancer-Fighting Cells Engineered Inside Patients' Bodies Rather Than Laboratory for the First Time
Such an advancement would allow for one of the most successful non-chemo cancer treatments to be done both faster and cheaper.
